
La Chirurgia Proctologica è una specialità chirurgica caratterizzata da particolari aspetti che la rendono unica nel suo genere. Anche in mani esperte rimane sempre una “chirurgia difficile” poiché la regione ano-rettale in cui viene eseguita è caratterizzata da fattori ambientali “ostili” che ostacolano la riparazione delle ferite, ritardandone la guarigione.
Nel postoperatorio le ferite chirurgiche si trovano inevitabilmente in un microambiente ove è presente un’ alta contaminazione batterica dovuta alla presenza delle feci. Inoltre, l’ elevata pressione continuamente generata dalla fisiologica contrazione della muscolatura degli sfinteri anali (nel postoperatorio spesso abnormemente aumentata per risposta riflessa agli stimoli dolorosi) condizionerà un limitato afflusso sanguigno microtissutale a livello delle aree in via di riparazione. Questi fattori, costantemente presenti nella regione anorettale, determinano in Chirurgia Proctologica una difficile e lenta guarigione delle ferite.
In questo contesto la terapia rigenerativa con cellule staminali mesenchimali autologhe attuata con la tecnica LIPOGEMS®, che grazie ai suoi validi risultati è già ampiamente utilizzata in altri ambiti specialistici (Chirurgia Plastica-Ricostruttiva, Chirurgia Ortopedica, Chirurgia Maxillo-Facciale, Chirurgia Otorinolaringoiatrica, Chirurgia Generale, Chirurgia Vascolare, Cardiochirurgia, ecc), è in grado oggi di fornire un importante ausilio anche al trattamento delle patologie proctologiche, in quanto promuove la rigenerazione del tessuto danneggiato favorendo il ripristino della funzionalità dell’ organo.
Numerosi studi internazionali hanno dimostrato la capacità del LIPOGEMS® di agevolare la rigenerazione dei tessuti grazie all’ innata proprietà di produrre, una volta introdotto nel tessuto ospitante, messaggeri chimici per l’induzione di angiogenesi e sostanze che stimolano la secrezione di fattori di crescita cellulare. La conseguente risposta del tessuto ospitante è quella di incrementare il microflusso sanguigno tissutale e la replicazione di cellule differenziate. Questi fattori, unitamente alle intrinseche capacità antisettiche del LIPOGEMS®, vanno naturalmente ad attenuare quei fattori ambientali “ostili” caratteristici dell’ ambiente anorettale, che in normali condizioni determinano ostacolo alla rigenerazione tissutale con conseguente rallentamento dei processi di guarigione.
Un altro aspetto importante della Chirurgia Proctologica “tradizionale” è il fattore dolore. Per l’ elevato numero di recettori nervosi sensitivi presenti nella zona dell’ ano, il periodo postoperatorio a seguito di un trattamento chirurgico risulterà spesso mal tollerato a causa del dolore percepito. Questo aspetto è fortemente temuto dai pazienti, tanto che spesso giungono a rimandare o a rinunciare ad effettuare i trattamenti chirurgici necessari, con conseguente condizionamento della qualità di vita e spesso aggravamento della patologia da cui sono affetti. Il LIPOGEMS®, anche grazie all’ effetto antinfiammatorio/antidolorifico di cui è naturalmente dotato, attenua la generazione del dolore nelle aree dove viene inoculato, rendendo meglio tollerati i giorni successivi alla procedura chirurgica.
La proctologia rigenerativa con tecnica LIPOGEMS® è una procedura mini-invasiva che prevede l’ utilizzo di una piccola quantità di tessuto adiposo, ottenuta dallo stesso paziente attraverso liposuzione sottocutanea dell'addome o delle cosce. Il grasso estratto viene processato attraverso un device monouso proprietario (Fig.1), che impiega procedimenti meccanici di microfrantumazione e di microfiltrazione. In tal modo si ottiene una sospensione microtissutale ricca di cellule staminali adulte mesenchimali inglobate nella loro naturale “micronicchia tissutale” che conserva Frazioni Vascolo Stromali (SVF) vitali. Il prodotto ottenuto - composto microtissutale LIPOGEMS® biologicamente attivo - viene quindi iniettato nell'area interessata (Fig 2). La procedura viene eseguita nel contesto di una unica seduta e richiede dai 20 ai 60 minuti per essere completata.
A) Tessuto adiposo aspirato
B) Camera di processazione
C) Composto microtissutale LIPOGEMS® ricco in Cellule Staminali Mesenchimali (MSC)
D) Liquido e materiale cellulare di scarto
Le patologie proctologiche che possono essere trattate con la terapia rigenerativa includono incontinenza sfinteriale anale, fistole anali, ragadi anali, emorroidi, stenosi anali, dermatiti perianali, disturbi della sfera sessuale e diverse altre condizioni infiammatorie o degenerative.
L’ impiego della tecnica LIPOGEMS®, può, in casi selezionati, evitare di giungere al punto di dover effettuare un vero e proprio trattamento chirurgico, ottenendo la guarigione con impiego di semplice procedura ambulatoriale che prevede l’ inoculazione del microtessuto LIPOGEMS® nella sede della patologia (es. ragade anale superficiale).
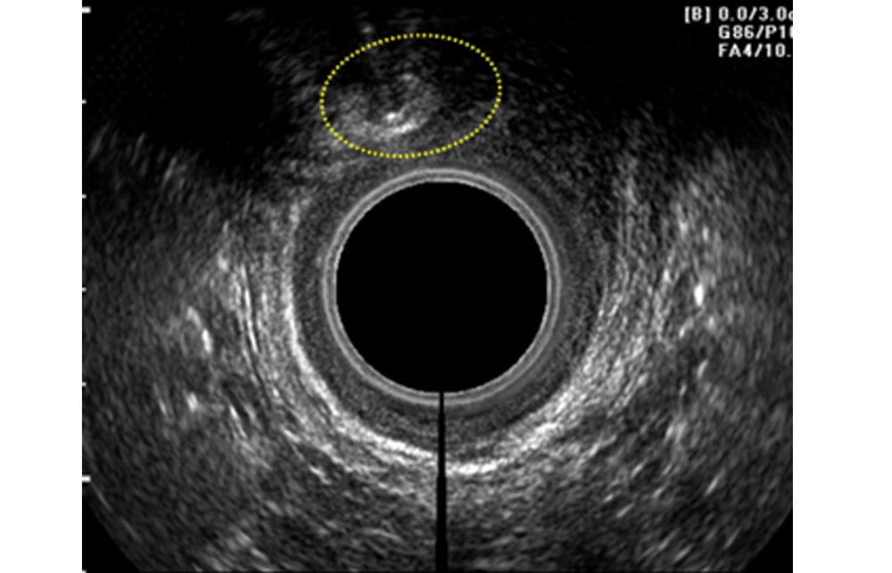
Fig 2 - Inoculazione del prodotto LIPOGEMS sotto guida Ecografica endoanale
Qualora fosse necessario praticare un vero e proprio intervento chirurgico, l’ associazione della tecnica rigenerativa con inoculazione del prodotto LIPOGEMS®, che a seconda delle differenti situazioni può venire effettuata nella area chirurgica, intorno al bordo anale, nello spazio intersfinterico e lungo il decorso dei nervi pudendi, sarà in grado di attenuare gli aspetti negativi postoperatori ottenendo una significativa riduzione del dolore e una più veloce guarigione delle ferite.
Informazioni a cura di
Dott. Alberto Giori Medico Chirurgo
Specialista in Chirurgia Generale
Esperto in Proctologia – Colonproctologica
Esperto in Proctologia Rigenerativa (Chirurgia Rigenerativa applicata alla Proctologia)
Come prenotare la visita specialistica proctologica
- Dal nostro sito cliccando questo collegamento PRENOTA VISITA PROCTOLOGICA
- Dalla nostra app disponibile gratuitamente su apple store e play store
- Telefondando al Centro Medico Buonarroti: 0248015355

